
【尿液中的風景】從影像看見疾病訊號:台中榮總尿沉渣案例解析
在尿液檢驗領域中,每一張影像都可能隱藏關鍵的臨床訊息 。於2026年3月27日艾慕思尿沉渣研討會中,來自臺中榮民總醫院一般檢驗科的吳懿芳資深醫檢師,以「尿液中的風景:中部醫學中心影像案例分享」為題,帶領與會者深入探索尿沉渣影像背後的診斷意義 。
吳懿芳醫檢師指出,尿液不只是數據,更是疾病線索 。尿液沉渣檢驗不應僅止於數值判讀,而是需結合細胞型態與臨床背景,才能真正發揮診斷價值 。
Case 1:腎臟移植患者之尿沉渣結果 (腎臟科)
在腎臟移植病例中,醫檢師於切換 Toyobo Uscanner Premio 單張圖像時發現 decoy cell,後經人工鏡檢染色證實。
腎臟移植患者之Toyobo Uscanner Premio尿沉渣結果(腎臟科)
於Premio切換單張圖像,發現decoy cell
於Premio切換單張圖像,發現decoy cell
人工鏡檢染色後證實為 decoy cell
人工鏡檢染色後證實為 decoy cell
Case 2:自體免疫疾病患者之尿沉渣結果 (免疫風濕科)
影像中觀察到細胞質內包含體,透過系統化判讀精準識別異常細胞型態 。
自體免疫疾病患者之Toyobo Uscanner Premio尿沉渣結果(免疫風濕科)
於Premio切換單張圖像,發現細胞質內包含體
人工鏡檢染色後證實為細胞質內包含體
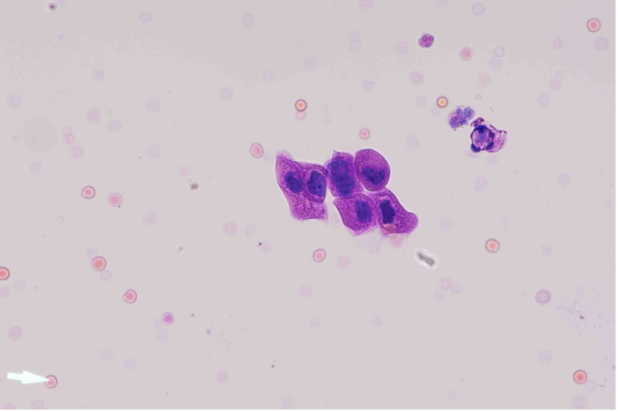
Case 3:膀胱癌患者之尿沉渣結果 (泌尿科)
在膀胱癌患者尿液中發現惡性細胞,顯示尿沉渣檢驗在惡性病灶偵測中的診斷價值 。
膀胱癌患者之Toyobo Uscanner Premio尿沉渣結果(泌尿科)
於Premio切換單張圖像,發現惡性細胞
於Premio切換單張圖像,發現惡性細胞
人工鏡檢染色後證實為惡性細胞
人工鏡檢染色後證實為惡性細胞
結語:讓影像轉化為臨床決策
尿液中的「風景」如同一幅幅臨床縮影,需仰賴經驗與判讀能力看見疾病本質 。透過 Toyobo Uscanner Premio 的影像案例分享,不僅提升醫檢人員辨識力,也進一步強化整體尿液檢驗品質。